Tuesday, February 10, 2015

Heart Valve Calcification

Pictures of Heart Valve Calcification

VITREOUS CYOPRESERVATION REDUCES HEART VALVE CALCIFICATION R PR-2
American Association of Tissue Banks 26th Annual Meeting ‧ Boston, Massachusetts ‧ August 23–27, 2002 R PR-2 VITREOUS CYOPRESERVATION REDUCES HEART VALVE CALCIFICATION ... Read Here

Images of Heart Valve Calcification

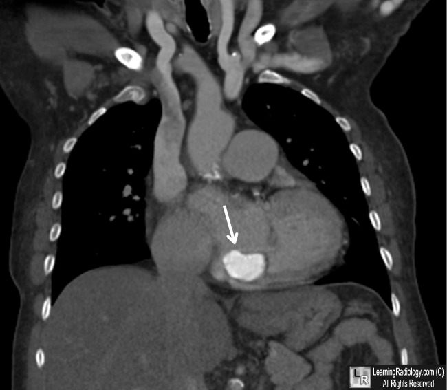
The Association Of Incidentally Detected heart valve ...
COMPUTED TOMOGRAPHY The association of incidentally detected heart valve calcification with future cardiovascular events Martijn J. A. Gondrie & Yolanda van der Graaf& ... Retrieve Full Source

Heart Valve Calcification

Elucidating Role Of Heart Valve Cells In The Aortic Valve ...
Aortic valve calcification is a major cause of valve failure in the elderly population and incurs enormous cost for valve replacement surgeries. ... Return Doc

Heart Valve Calcification Pictures

#ThrowbackThursday 1965: Ten Years Since First Open Heart Operation
This article first appeared March 26, 1965 in the publication Mayovox. Development of Heart-Lung Bypass Made It Possible Ten years ago, on March 22, 1955, Dr. John Kirkin, working at Methodist Hospital, operated on a five year old girl who had a ventricular septal defect — a hole in the wall separating the two chambers [] ... Read News

Heart Valve Calcification Pictures

Inhibition Of Calcification With Citric Acid In Pericardial ...
Inhibition of Calcification with Citric Acid in Pericardial Bioprosthetic Heart Valve Material: A Preliminary Report Nehir Sucu 1, Lulufer Tamer2, Barlas Aytacoglu, Ayse Polat3, H. Ali Dondas4, Ali Gul1, Murat ... Doc Viewer

Pictures of Heart Valve Calcification

Calcific Heart Valve Disease: Mathematical, Engineering And ...
Calcific Heart Valve Disease: Mathematical, Engineering and Biological Perspectives Philippe Sucosky, PhD Multi-Scale Cardiovascular Bioengineering Laboratory may also cause tissue calcification. The complexity of valvular hemodynamics along with the ... Access Document

Photos of Heart Valve Calcification

Calcification Of Tissue Heart Valve Substitutes: Progress ...
Progress Toward Understanding and Prevention Frederick J. Schoen, MD, PhD, and Robert J. Levy, MD Department of Pathology, 2005;79:1072–80 CALCIFICATION OF TISSUE HEART VALVE SUBSTITUTES REVIEWS. ied using a rat subdermal model. Collagen and elastic ... Fetch Content

Images of Heart Valve Calcification

Warfarin Causes Rapid Calcification Of The Elastic Lamellae ...
Warfarin Causes Rapid Calcification of the Elastic Lamellae in Rat Arteries and Heart Valves Paul A. Price, Samuel A. Faus, Matthew K. Williamson ... View Full Source

Popular Videos - Calcification - YouTube
Popular Videos - Calcification #Calcification; 200 videos; 1,489 views; Updated today; Play all Share. Loading Save. Sign in to YouTube. Sign in. Heart Valve Calcification, What Is This? by EmpowHER. 1:25. Play next; Play now; Fat and Progression of Coronary Artery Calcification ... View Video

Heart Valve Calcification Images

Aortic Homograft Replacement - Circulation
Homograft valve calcification Homograft leaflet rupture Myocardial disease with cinefilm screening of the heart for calcification is uncertain, as it is impossible to differentiate between calcium deposits in host and graft aortic wall. ... Fetch This Document

Heart Valve Calcification Images

Large Caseous Mitral Medicine Annular Calcification
Texas Heart Institute Journal Caseous Calcification of the Mitral Annulus 911 that might have developed between the tip of the ante-rior mitral valve leaflet and the sigmoid septum during ... Read Full Source

Heart Valve Diseases - About.com Health
Heart valve diseases explained in easy to understand language. Learn about heart valve diseases and the damage they do the heart. ... Read Article

Images of Heart Valve Calcification

Homograft valve calcification: Evidence For An Immunological ...
Homograft valve calcification: Evidence for an immunological influence L. Gonzalez-Lavin, J. Bianchi, D. Graf, S. Amini, C. I. Gordon Deborah Research Institute, Deborah Heart and Lung Center, Browns Mills, ... Retrieve Here

Heart Valve Calcification

Intra-atrial Placement Of A Mitral Prosthesis In A Patient ...
Intra-atrial Placement of a Mitral Prosthesis in a Patient with Severe Mitral Annulus Calcification: A Case ence of the mitral valve annulus [Ng 2000]. Such calcification of the bileaflet preservation for complex annular calcification. Heart Surg Forum 11:E1-3 ... Read More

Heart Valve Calcification Images

Inhibition Of Aortic Wall calcification In Bioprosthetic ...
Recently, the calcification of the bioprosthetic aortic wall has been studied owing to the increasing use of the stentless BPHV,2 which has a relatively large seg- ... View This Document

Images of Heart Valve Calcification

Early Postoperative Bioprosthetic Valve Calcification
J Heart Valve Dis 2006;15:421–7. [5] Chan V, Jamieson WRE, Fleisher AG, Denmark D, Chan F, Germann E.Valvereplacementsurgeryinend-stagerenalfail-ure: Early Postoperative Bioprosthetic Valve Calcification Author: Anand Iyer M.Ch Subject: ... Get Doc

Heart Valve Calcification Photos

Summary Of Safety And Effectiveness Data Mitroflow Aortic ...
Summary of Safety and Effectiveness Data Mitroflow Aortic Pericardia! Heart Valve 1. Generallnformation Device Generic Name: Device Trade Name: ... Document Retrieval

Heart Valve Calcification

Aortic Stenosis: Pathophysiology, Diagnosis, And Medical ...
Aortic Stenosis: Pathophysiology, Diagnosis, and Medical Management of Nonsurgical Patients THERESA CARY, RN, Normal Heart and Valve Function The most common cause of aortic stenosis is valve calcification, termed calcific aortic valve disease ... Retrieve Content

Photos of Heart Valve Calcification

CALCIFICATION OF THE AORTIC VALVE ... - Heart - BMJ Journals
CALCIFICATION OF THEAORTIC VALVEANDOF THE CORONARYARTERIES BY DAVID PYKEANDCECIL SYMONS Fromthe RoyalNorthern Hospital, London Received February26, 1951 ... Access Doc

Heart Valve Calcification Photos

Aortic valve calcification An Active Biological Process
Aortic valve calcification – an active biological process Chaim Lotan MD, FESC, FACC Cardiovascular Research Center Hadassah-Hebrew University Medical Center ... Content Retrieval

Images of Heart Valve Calcification

Initiation Of Mineralization In Bioprosthetic heart valves ...
Initiation of mineralization in bioprosthetic heart valves: Studies of alkaline phosphatase activity and its inhibition by A1Cl3 or FeC13 preincubations Robert J. Levy* heart valve calcification by sustained local delivery of Ca and Na ... Return Doc

Images of Heart Valve Calcification

Inhibition Of Bioprosthetic Heart Valve Calcification With ...
Inhibition of Bioprosthetic Heart Valve Calcification wi& Aminodiphosphonate Covalently Bound to Residual Aldehyde Groups Catherine L. Webb, M.D., James J. Benedict, Ph.D., Frederick J. Schoen, M.D., Ph.D., ... Fetch Doc

Aortic And Mitral valve calcification Along With Left ...
Aortic and mitral valve calcification along with left coronary angiogram. Description at: https: Marcus Heart Valve Center 27,560 views. 16:34 Calcification of the Coronary Arteries and the Aortic Valve and Benign Fatty Tissue - Duration: 1:09. ... View Video

Mitral valve Surgery In Heavily Calcified Mitral valve By D ...
Case of extensively calcified mitral valve with calcification extending into left atrium and left ventricle as seen in this angiography video in a100 kg 54 y ... View Video

Mitral valve Annuloplasty - Wikipedia, The Free Encyclopedia
Mitral valve annuloplasty is a surgical technique for the repair of leaking mitral valves. Due to various factors, the two leaflets normally involved in sealing the mitral valve to retrograde flow may not coapt properly. ... Read Article

Aortic Regurgitation - Heart Disease And Cardiology Advice ...
In aortic regurgitation the aortic valve becomes "leaky," which often leads to significant heart problems. The aortic valve guards the opening between the left ventricle and the aorta. ... Read Article

No comments:

Post a Comment